Family Dentist Near Boling
At Rosenberg Smiles, we are committed to providing quality dental care in a welcoming environment. Rosenberg Smiles is the personalized and progressive family dentistry near Boling, serving in Fort Bend areas with a commitment to excellence. Have you been thinking of straightening your teeth, now you are in luck as we are a Master Provider of Fast Braces. Our mission is to improve the oral health of our community by delivering top-notch dental care and education, ensuring every visit is stress-free and positive. Rosenberg Smiles for comprehensive, caring, and convenient dental care for the Whole Family.
- General Dentistry: From routine cleanings and fillings to bruxism devices, our general dentistry services are designed to maintain your dental health and prevent future issues.
- Pediatric Dentistry: Children love us! Our gentle approach and kid-friendly environment make dental visits fun for our youngest patients.
- Cosmetic Dentistry: Enhance your smile with our cosmetic dentistry options including whitening, veneers, and bonding.
- Emergency Dental Care: Urgent dental problem? We offer emergency services to address dental issues promptly and alleviate pain.


General
Dentistry

Restorative
Dentistry

Cosmetic
Dentistry

Emergency
Dentistry

Pediatric
Dentistry
DENTAL CLINIC
Affordable Dentist For Comprehensive Care
Whether you’re due for a regular check-up or require more specialized treatments such as a smile makeover or root canal, Rosenberg Smiles provides a comprehensive range of services tailored to meet your individual needs. Our emergency dentistry care ensures that all your family members and the wider Rosenberg community have access to prompt, professional dental support. If you have any questions or wish to book an appointment, please don’t hesitate to contact us.

General Dentistry

Cosmetic Dentistry

Pediatric Dentistry
Rosenberg Smiles, the family dentist in Rosenberg, also taking care as walk in dentist in Rosenberg to accomodate emergency dental patients. Learn more about our All Services


Dental Care In Fort Bend
Dentist for Emergency and Family Dental Care
| Disorder Treatment Root Canal Therapy Porcelain Fixed Bridges Periodontal (Gum) Disease Oral Surgery Wisdom Teeth Removal Sleep Apnea Invisalign |
Other Treatments Porcelain Dental Crowns Porcelain Fixed Bridges Composite Fillings Dentures & Partial Dentures Root Canal Therapy Composite Fillings |
Please note that the services offered by our walk-in dentists may include routine cleanings, fillings, extractions, and other emergency dental procedures.
Dentist Rosenberg
What People Say About Us
I have been going to Rosenberg Smiles for years!!! They have a gorgeous office that is so clean and very modern. The entire staff is professional and friendly.
Marty Slade
I have been a patient of Dr. Tanvi Dusane’s for many years. I would not want to go to anyone else. Her office staff & hygienists are top-notch as well.
latwan Clay
Very kind staff, the rosenberg tx dentist is very informative and helpful. Very easy process. I was in and out within an hour!
Information
Our Latest Blogs
Wisdom Teeth Removal
Suffering from severe wisdom teeth pain isn’t something we hear for the first time, is it? Let’s learn more about what it is, why we are suffering from wisdom teeth, and some other facts that will…
An Expert Guide Seeing a Emergency Dentist in Rosenberg
For some people, visiting the dentist can be a stressful experience. Fortunately, the anticipation nearly always makes the experience more unpleasant. By practising good oral hygiene, eating a…

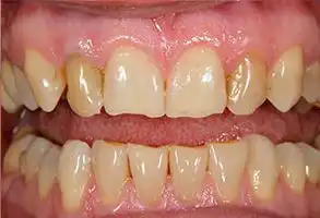
Before

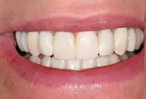
After

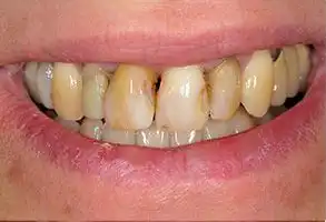
Before

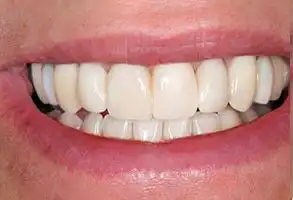
After

Before

After


